Halloween party ideas 2015

 
mouthwashIntroduction to chlorhexidine:
Different types of problems related with the disorder in the mouth and pharyngeal region can be treated in more cases with the chemical  Chlorhexidine, is an antiseptic, first discovered and developed by Imperial Chemical Industries (ICI) and introduced under the brand name Hibitane. ICI also discovered and developed another antiseptic cetrimide and introduced Savlon which was a combination of both cetrimide and chlorhexidine. Chlorhexidine is effective on both Gram-positive and Gram-negative bacteria, although it is less effective with some Gram-negative bacteria. It has both bactericidal and bacteriostatic mechanisms of action, the mechanism of action being membrane disruption, not ATPase inactivation as previously thought.It is also useful against fungi and enveloped viruses, though this has not been extensively investigated.
Molecular Formula: C28H42Cl2N10O7     
Average mass: 701.601929 Da
IUPAC Name: N,N''''-1,6-Hexanediylbis[N'-(4-chlorophenyl)(imidodicarbonimidic diamide)] - D-gluconic acid
ChemSpider 2D Image | Chlorhexidine Gluconate | C28H42Cl2N10O7
 
Uses:
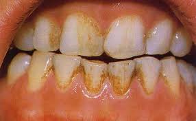
Chlorhexidine is often used as an active ingredient in mouthwash designed to reduce dental plaque and oral bacteria. It has been shown to have an immediate bactericidal action and a prolonged bacteriostatic action due to adsorption onto the pellicle-coated enamel surface.If it is not deactivated, chlorhexidine lasts longer in the mouth than other mouthwashes and this is partly why it is to be preferred over other treatments for gingivitis. To treat periodontal pockets equal or greater 5mm chlorhexidine is also available in high concentration (36%) in a gelatine-chip (PerioChip).This medication is used along with regular tooth brushing/flossing to treat gingivitis, a gum disease that causes red, swollen, and easily bleeding gums. Chlorhexidine belongs to a class of drugs known as antimicrobials. It works by decreasing the amount of bacteria in the mouth, helping to reduce swelling and redness of the gums and bleeding when you brush.OTHER This section contains uses of this drug that are not listed in the approved
Dental problemsThere are oral pathologic conditions in which the maintenance of oral hygiene with the twice-daily use with 0.12% chlorhexidine-gluconate solution (in which a salt of chlorhexidine and gluconic acid has been dissolved) is required for healing and regeneration of the oral tissues. These conditions included gingivitis, periodontitis, dental traumas (such as subluxation), oral cysts,and after wisdom tooth extraction. The clinical efficacy of the application of chlorhexidine as a component of oral rinses is well documented by many clinical studies that are summarized by review articles.


 

Post a Comment

Powered by Blogger.